新闻 通用
北京天坛医院病例分享:15岁少年卒中+肺栓塞
二月 10, 2026
北京天坛医院病例分享:15岁少年卒中+肺栓塞
本文作者:王皓缘
指导老师:刘诗蒙
单位:首都医科大学附属北京天坛医院
前言
青年卒中是指发生在18至45岁人群中的脑卒中事件,其占所有卒中病例的比例约为10%至20%。
在病因学上,青年卒中呈现出双重性特征。一方面,传统血管危险因素导致了动脉粥样硬化的早发。另一方面,非传统因素如:动脉夹层、心源性栓塞、高凝状态(如抗磷脂综合征、遗传性易栓症、口服避孕药)以及血管炎等日益普遍。因此,对青年卒中患者进行系统、全面的病因评估至关重要。
诊疗经过
患者,女,15岁,2025年7月17日入院,主因:“言语不能伴右侧肢体无力10天”入院。
患者10天前无明显诱因出现言语不能,部分理解他人的问话,言语少,不能被理解,右侧肢体力弱,可在他人搀扶下行走,后逐渐不能活动。于当地医院完善颅脑MRI+MRA:左侧大脑半球多发急性脑梗死灶;左侧大脑中动脉闭塞;左侧颈内动脉狭窄。完善脑血管造影检查:左侧颈内动脉末端闭塞,以远血管未见显影;后交通动脉及前交通动脉开放,部分代偿左侧颈内动脉供血区供血,余颅内其他脑血管管腔通畅,未见明显异常。于左侧颈内动脉末端行取栓及吸栓,取出及吸出一块黑色血栓,造影显示左侧颈内动脉末端仍闭塞,再次给予吸栓、取栓未见血栓。造影显示左侧颈内动脉末端仍存在充盈缺损且远端血管部分显影,血管床较前增多。局部给予缓慢推注替罗非班注射液25ml,术后给予替罗非班泵入2天治疗,后改为阿司匹林抗血小板治疗。给予瑞舒伐他汀、甘露醇等治疗。6天前肺动脉CTA提示右肺下叶肺动脉栓塞,给予那屈肝素抗凝治疗,同时停用抗板治疗。同时予以转院。
既往体健。否认家族史、遗传病史,否认特殊用药史。
入院查体
血压:左侧上肢107/90mmHg,右侧上肢109/70mmHg。意识清楚,混合性失语。双侧瞳孔等大正圆,直径3mm,对光反射灵敏。右侧中枢性面瘫。右侧肢体肌力0级,右侧病理征阳性。余查体未见明显异常。
辅助检查
血常规:红细胞计数 3.35x10~12/L,红细胞分布宽度标准差 37.60fL,血红蛋白量95.00g/L,红细胞比积 28.50%,其余正常。
狼疮抗凝物比率 1.591。
抗链球菌溶血素0、类风湿因子、C反应蛋白、免疫球蛋白A、免疫球蛋白G、免疫球蛋白M、补体4正常。血沉正常。
抗中性粒细胞浆抗体(抗心磷脂抗体(IgA,G,M)、抗中性粒细胞浆抗体、抗环瓜氨酸肽抗体正常。
抗心磷脂抗体、抗β2-糖蛋白I抗体正常。
抗磷脂酰肌醇IgG抗体:24.62U/ml↑(参考区间:<20),抗β2糖蛋白1结构域1IgG(β2GP1D1-Ab)抗体56.43U/ml↑(参考区间:<20)
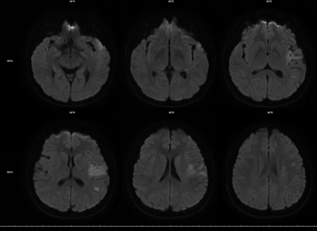
MRI:左侧大脑半球多发急性脑梗死灶。

MRA:左侧大脑中动脉闭塞。左侧颈内动脉狭窄。
DSA:

心脏超声:心内结构功能及血流未见明显异常。
连续3天动态心电图检查:
- 第1天:平均心率:84次/分,最慢心率:67次/分,窦性心律;偶发房性早搏;动态T波改变。
- 第2天:平均心率:83次/分,最慢心率:65次/分,窦性心律;偶发房早;动态T波改变。
- 第3天:平均心率:77次/分,最慢心率:64次/分,窦性心律;偶发房性早搏;偶发室性早搏;动态T波改变。目前心源性证据不足。
入院诊断
脑梗死
- 左侧颈内动脉系统
- 病因不明
诊疗经过
患者脑梗死诊断明确,需要进一步评估病因,根据CISS分型分别评估病因:

1
穿支动脉疾病:本病例存在明确的大脑中动脉闭塞及大脑中动脉分布区的梗死灶,排除穿支动脉疾病。
2
心源性:否认心脏病史。心脏相关检查:心脏超声:心内结构功能及血流未见明显异常。连续3天动态心电图检查未见明显节律异常。心源性证据不足。
3
大动脉粥样硬化性:虽然患者为青少年,无高血压、糖尿病、高脂血症、吸烟等动脉粥样硬化危险因素,但存在左侧大脑中动脉闭塞、左侧颈内动脉狭窄的客观证据,目前不能完全排除大动脉粥样硬化性,需进一步检查确定脑动脉狭窄/闭塞的原因。同时可评估颅外动脉,寻找是否存在动脉粥样硬化间接证据。
4
其他原因:
a)血管病:脑血管造影未提示动脉夹层、动静脉畸形、烟雾病等。
b)血管炎:血沉、CRP、免疫球蛋白、RF、ASO、ANCA等正常,抗dsDNA 1:100,不能除外,需进一步检查,同时完善血管壁高分辨核磁成像。
c)血液系统疾病:血常规检查未见明显异常,除外红细胞增多症、嗜酸性粒细胞增多症、血小板增多症等血液疾病。
d)凝血功能异常:蛋白C活性测定、蛋白S活性测定、抗凝血酶活性测定正常。狼疮抗凝物比率升高,抗心磷脂抗体、抗β2-糖蛋白I抗体正常。抗磷脂酰肌醇IgG抗体:24.62U/ml↑(参考区间:<20),抗β2糖蛋白1结构域1IgG(β2GP1D1-Ab)抗体56.43U/ml↑(参考区间:<20)。患者存在多种抗体阳性,同时有其他系统的血栓事件(肺动脉栓塞),考虑可能存在凝血功能异常。
进一步检查
凝血6项:D-二聚体定量 1.8μg/mL↑,凝血酶原时间 14.4sec↑,国际标准化比值 1.27↑,活化部分凝血活酶时间 41.1sec↑,纤维蛋白原 4.12g/L↑。
狼疮抗凝物6项:标准化比率(SCT) 1.88↑(参考区间:<1.2),标准化比率(DRVVT) 1.47↑(参考区间:<1.2)。
Coombs试验:阳性。
心磷脂抗体、抗β2糖蛋白1抗体IgA、IgG、IgM正常,狼疮抗凝物阳性。
抗磷脂酰丝氨酸/凝血酶原IgG抗体 75.330↑,抗磷脂酰丝氨酸/凝血酶原IgM抗体 69.953↑。
颈动脉、椎动脉、锁骨下动脉、双上肢动脉、双下肢动脉超声:未见斑块或狭窄。
高分辨核磁血管壁增强成像:左侧颈内动脉C7段管壁可见强化影。

患者高分辨核磁血管壁成像未见动脉粥样硬化斑块的“偏心样”强化,同时颅外血管也无动脉粥样硬化证据,故考虑大动脉粥样硬化性可能性较小,但不能完全排除。患者青少年女性,有动静脉血栓病史(大脑中动脉血栓、肺动脉栓塞),多种抗磷脂抗体单次阳性,Coombs试验阳性,考虑抗磷脂综合征可能性大。因此,本例患者的病因考虑抗磷脂综合征可能性大,大动脉粥样硬化性不除外。治疗上,因患者梗死面积较大,复查CT梗死灶渗血,未使用华法林抗凝,暂予以依诺肝素抗凝、吗替麦考酚酯免疫治疗。同时建议12周后复查凝血功能、抗磷脂抗体等,根据情况调整抗凝方案及免疫治疗方案。
病例讨论
本病例是一例典型的以青年卒中起病的APS。其诊断过程凸显了对于不明原因青年卒中,进行全面、细致的病因筛查,特别是抗磷脂抗体谱检测的重要性。
01
APS与缺血性卒中
缺血性卒中是APS最常见的动脉血栓事件[1, 2]。研究表明,在青年卒中和隐源性卒中患者中,aPL的阳性率显著高于普通人群[3]。本例患者为15岁青少年,无传统卒中危险因素,但其多发性脑梗死合并肺动脉栓塞的临床表现,是提示APS的重要线索。
02
LA阳性显著增加动脉粥样硬化风险:从血栓到血管损伤的机制拓展
传统上,APS被视为一种血栓前状态,其所致卒中多归因于心源性或原位血栓形成。然而,近年来的研究日益揭示,aPL尤其是LA,不仅是血栓的标志物,其本身可能直接参与并加速动脉粥样硬化的病理过程。既往一项2025年由中国协和医院发表的大规模队列研究,对1573名系统性红斑狼疮(SLE)患者平均随访4.51年,发现aPL阳性患者未来发生冠状动脉粥样硬化的风险显著增高(HR=7.81)。尤为关键的是,在多因素分析中,LA阳性与冠状动脉粥样硬化的发生关联最为强烈(HR=5.13)[4]。
这一发现极大地拓展了我们对APS致病机制的认识:aPL(特别是LA)可通过激活内皮细胞、促进炎症因子释放、干扰脂蛋白代谢等多种途径,直接损害血管内皮功能,加速动脉粥样硬化斑块的形成与发展。这意味着,对于本例LA阳性的青少年患者,其长期风险管理不能仅局限于抗凝预防血栓复发,更需将其视为动脉粥样硬化性心血管疾病的高危人群进行终身管理。即便其当前颅内外血管未见粥样硬化斑块,LA阳性这一因素本身已预示其未来血管加速老化的风险。因此,在治疗上,除了抗凝,严格干预所有可控制的动脉粥样硬化危险因素(如血脂、血压、戒烟、生活方式等)具有重大的远期意义。
03
APS的诊断标准与“非标准”抗体的价值
本例患者符合2006年悉尼修订的APS分类标准,标准抗体(LAC、aCL、抗β2GPI)[1]。除此之外,抗磷脂酰肌醇抗体和抗β2GP1-D1抗体这些“非标准”抗体在临床高度疑诊但标准抗体阴性的APS诊断中具有重要补充价值。虽然本例非“三重阳性”,但其多种抗体阳性及Coombs试验阳性,提示其免疫状态活跃,血栓风险高。
04
治疗策略的个体化选择
APS相关卒中的二级预防以长期抗凝为基石。欧洲抗风湿病联盟(EULAR)指南推荐,对于动脉血栓事件的APS患者,应优先选择维生素K拮抗剂(VKA)如华法林(目标INR 2.0-3.0),而非直接口服抗凝药(DOAC)或单用抗血小板药物[4]。然而,治疗必须个体化。本例患者因梗死面积大、有渗血,出血风险高,初始治疗选用低分子肝素是审慎之举。此外,对于抗体滴度高或病情活动的患者,可考虑联合免疫抑制剂,如羟氯喹或吗替麦考酚酯,以调节免疫状态,理论上可能降低血栓风险。本例加用吗替麦考酚酯正体现了这一治疗思路。
05
本病例的启示
本病例有两点突出启示:其一,APS可发生于青少年,且卒中表现可为首发症状,临床需提高警惕。其二,如前述,APS的危害已超越急性血栓事件,LA阳性等指标是远期动脉粥样硬化风险的强力预测因子,这要求临床医生具备更长远的管理视角。
本文作者
王皓缘
首都医科大学附属北京天坛医院神经病学博士研究生
研究方向:脑血管病。发表多篇国内核心期刊及SCI论文,参与多项国家重点研发计划、国家自然科学基金等脑血管病研究,参与编写多项教材及科普著作。
参考文献
[1] Cervera R, et al. The Euro-Phospholipid project: epidemiology of the antiphospholipid syndrome in Europe. Lupus. 2009 Sep;18(10):889-93.
[2] Shi H, et al. Clinical characteristics and laboratory findings of 252 Chinese patients with anti-phospholipid syndrome: comparison with Euro-Phospholipid cohort. Clin Rheumatol. 2017 Mar;36(3):599-608.
[3] Gašperšič N et al. Stroke and antiphospholipid syndrome-antiphospholipid antibodies are a risk factor for an ischemic cerebrovascular event. Clin Rheumatol. 2019 Feb;38(2):379-384.
[4] Huang C, et al. Future atherosclerotic cardiovascular disease in systemic lupus erythematosus based on CSTAR (XXVIII): the effect of different antiphospholipid antibodies isotypes. BMC Med. 2025 Jan 6;23(1):8.
留下您的联系方式。
werfenchina@werfen.com
电话: +86-10-5975-6055